Skip to content Skip to sidebar Skip to footer

Autoimmune Lymphoproliferative Syndrome Symptoms

Autoimmune Lymphoproliferative Syndrome Alps Nih National Institute Of Allergy And Infectious Diseases

Autoimmune Lymphoproliferative Syndrome Alps Nih National Institute Of Allergy And Infectious Diseases

Autoimmune lymphoproliferative syndrome symptoms. Autoimmune cytopenia is common including autoimmune hemolytic anemia neutropenia and thrombocytopenia. Diagnostics of the autoimmune lymphoproliferative syndrome One of the signs of lymphoproliferative syndrome can be absolute lymphocytosis in the peripheral blood and bone marrow. Learn about the symptoms tests and treatments.

Skin problems usually rashes or hives urticaria can also occur in ALPS. Autoimmune lymphoproliferative syndrome ALPS is characterized by immune dysregulation due to a defect in lymphocyte apoptosis. Most commonly lymphoproliferation becomes apparent during childhood.

About Noonan syndrome More About This Health Condition Autoimmune lymphoproliferative syndrome MedlinePlus Genetics. Symptoms that resemble systemic lupus erythematosus may be present. These disorders can damage the kidneys glomerulonephritis liver autoimmune hepatitis eyes uveitis or nerves Guillain-Barre syndrome.

However it is known that patients diagnosed can live up to adulthood in addition some symptoms may improve as the years go by. Skin problems usually rashes or hives urticaria can also occur in ALPSALPS can have varying patterns of signs and symptoms. A recent study examined 200 people with Lymphoproliferative Syndrome.

Autoimmune lymphoproliferative syndrome is a heritable disorder of apoptosis resulting in the accumulation of autoreactive lymphocytes. Common symptoms reported by people with autoimmune lymphoproliferative syndrome. These disorders can damage the kidneys glomerulonephritis liver autoimmune hepatitis eyes uveitis or nerves Guillain-Barre syndrome.

Autoimmune lymphoproliferative syndrome is condition characterized as the production and excess of abnormally large white blood cells lymphocytes. Autoimmune lymphoproliferative syndrome ALPS is an inherited nonmalignant lymphoproliferative disorder characterized by heterozygous mutations within the first apoptosis signal receptor FAS signaling pathway. The diagnosis of ALPS is based on clinical findings laboratory findings and identification of genetic mutations.

The clinical manifestations may be noted in multiple family members and include lymphadenopathy splenomegaly increased risk of lymphoma and autoimmune disease which typically involves hematopoietic cell lines manifesting as multilineage cytopenias. Autoimmune lymphoproliferative syndrome is associated with other autoimmune disorders like autoimmune cerebellar ataxia transverse myelitis GuillainBarre syndrome and.

Autoimmune Lymphoproliferative Syndrome Medlineplus Genetics

Autoimmune Lymphoproliferative Syndrome Medlineplus Genetics

Autoimmune Lymphoproliferative Syndrome Clinical Presentation History Physical Examination Complications

Autoimmune Lymphoproliferative Syndrome Clinical Presentation History Physical Examination Complications

Autoimmune Lymphoproliferative Syndrome Medlineplus Genetics

Autoimmune Lymphoproliferative Syndrome Medlineplus Genetics

Autoimmune Lymphoproliferative Syndrome More F1000research

Autoimmune Lymphoproliferative Syndrome More F1000research

Phenocopies Of Pid Alps Autoimmune Lymphoproliferative Syndrome Download Scientific Diagram

Phenocopies Of Pid Alps Autoimmune Lymphoproliferative Syndrome Download Scientific Diagram

Autoimmune Lymphoproliferative Syndrome Alps By No Will

Autoimmune Lymphoproliferative Syndrome Alps By No Will

Autoimmune Lymphoproliferative Syndrome Medlineplus Genetics

Autoimmune Lymphoproliferative Syndrome Medlineplus Genetics

Pdf Autoimmune Lymphoproliferative Syndrome More Than A Fascinating Disease

Pdf Autoimmune Lymphoproliferative Syndrome More Than A Fascinating Disease

Autoimmune Lymphoproliferative Disorder In An Adult Patient Desai N K Morkhandikar S Bajpai S Pazare A R J Postgrad Med

Autoimmune Lymphoproliferative Disorder In An Adult Patient Desai N K Morkhandikar S Bajpai S Pazare A R J Postgrad Med

Autoimmune Lymphoproliferative Syndrome Alps Causes Nih National Institute Of Allergy And Infectious Diseases

Autoimmune Lymphoproliferative Syndrome Alps Causes Nih National Institute Of Allergy And Infectious Diseases

Autoimmune Lymphoproliferative Disorder In An Adult Patient Desai N K Morkhandikar S Bajpai S Pazare A R J Postgrad Med

Autoimmune Lymphoproliferative Disorder In An Adult Patient Desai N K Morkhandikar S Bajpai S Pazare A R J Postgrad Med

Lymphoproliferative Disorders

Lymphoproliferative Disorders

Autoimmune Lymphoproliferative Syndrome Medlineplus Genetics

Autoimmune Lymphoproliferative Syndrome Medlineplus Genetics

Autoimmune Lymphoproliferative Syndrome More F1000research

Autoimmune Lymphoproliferative Syndrome More F1000research

Autoimmune Lymphoproliferative Syndrome Alps Nih National Institute Of Allergy And Infectious Diseases

Autoimmune Lymphoproliferative Syndrome Alps Nih National Institute Of Allergy And Infectious Diseases

Differential Diagnosis Of Alps 16 17 Download Table

Differential Diagnosis Of Alps 16 17 Download Table

New Advances In The Diagnosis And Treatment Of Autoimmune Lymphoproliferative Syndrome Abstract Europe Pmc

New Advances In The Diagnosis And Treatment Of Autoimmune Lymphoproliferative Syndrome Abstract Europe Pmc

Https Www Ijms Info Ijms Article Download 165 134

Https Www Ijms Info Ijms Article Download 165 134

Optimal Management Of Autoimmune Lymphoproliferative Syndrome In Children Springerlink

Optimal Management Of Autoimmune Lymphoproliferative Syndrome In Children Springerlink

Autoimmune Lymphoproliferative Syndrome Alps Medical Definition Youtube

Autoimmune Lymphoproliferative Syndrome Alps Medical Definition Youtube

The Not So Swiss Alps Autoimmune Lymphoproliferative Syndrome

The Not So Swiss Alps Autoimmune Lymphoproliferative Syndrome

Natural History Of Autoimmune Lymphoproliferative Syndrome Associated With Fas Gene Mutations Sciencedirect

Natural History Of Autoimmune Lymphoproliferative Syndrome Associated With Fas Gene Mutations Sciencedirect

Lymphoproliferative Disorder Causes Symptoms Diagnosis Treatment Survival Rate

Lymphoproliferative Disorder Causes Symptoms Diagnosis Treatment Survival Rate

1

1

Optimal Management Of Autoimmune Lymphoproliferative Syndrome In Children Springerlink

Optimal Management Of Autoimmune Lymphoproliferative Syndrome In Children Springerlink

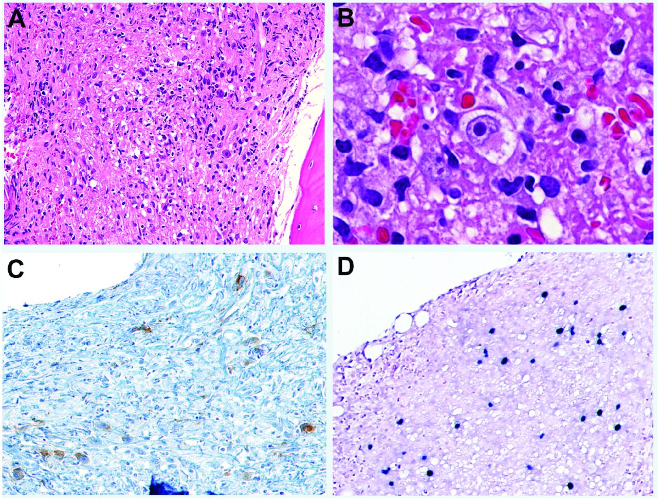
Pathological Findings In Human Autoimmune Lymphoproliferative Syndrome Sciencedirect

Pathological Findings In Human Autoimmune Lymphoproliferative Syndrome Sciencedirect

Table 3 From Autoimmune Lymphoproliferative Syndrome More Than A Fascinating Disease Semantic Scholar

Table 3 From Autoimmune Lymphoproliferative Syndrome More Than A Fascinating Disease Semantic Scholar

Autoimmune Lymphoproliferative Syndrome Medlineplus Genetics

Autoimmune Lymphoproliferative Syndrome Medlineplus Genetics

New Advances In The Diagnosis And Treatment Of Autoimmune Lymphoproliferative Syndrome Abstract Europe Pmc

New Advances In The Diagnosis And Treatment Of Autoimmune Lymphoproliferative Syndrome Abstract Europe Pmc

Advances In The Management And Understanding Of Autoimmune Lymphoproliferative Syndrome Alps Teachey 2010 British Journal Of Haematology Wiley Online Library

Advances In The Management And Understanding Of Autoimmune Lymphoproliferative Syndrome Alps Teachey 2010 British Journal Of Haematology Wiley Online Library

Cfxyt Zkouolym

Cfxyt Zkouolym

Haploinsufficiency Of Tnfaip3 A20 By Germline Mutation Is Involved In Autoimmune Lymphoproliferative Syndrome Journal Of Allergy And Clinical Immunology

Haploinsufficiency Of Tnfaip3 A20 By Germline Mutation Is Involved In Autoimmune Lymphoproliferative Syndrome Journal Of Allergy And Clinical Immunology

Pdf Updated Understanding Of Autoimmune Lymphoproliferative Syndrome Alps

Pdf Updated Understanding Of Autoimmune Lymphoproliferative Syndrome Alps

Key Diagnostic Markers For Autoimmune Lymphoproliferative Syndrome With Molecular Genetic Diagnosis Sciencedirect

Key Diagnostic Markers For Autoimmune Lymphoproliferative Syndrome With Molecular Genetic Diagnosis Sciencedirect

Autoimmune Lymphoproliferative Syndrome Molecular Basis Of Disease And Clinical Phenotype Worth 2006 British Journal Of Haematology Wiley Online Library

Autoimmune Lymphoproliferative Syndrome Molecular Basis Of Disease And Clinical Phenotype Worth 2006 British Journal Of Haematology Wiley Online Library

H X8 0rpcf23km

H X8 0rpcf23km

Pdf Autoimmune Lymphoproliferative Syndrome An Update And Review Of The Literature

Pdf Autoimmune Lymphoproliferative Syndrome An Update And Review Of The Literature

Deregulation Of Fas Ligand Expression As A Novel Cause Of Autoimmune Lymphoproliferative Syndrome Like Disease Haematologica

Deregulation Of Fas Ligand Expression As A Novel Cause Of Autoimmune Lymphoproliferative Syndrome Like Disease Haematologica

Https Www Ijms Info Ijms Article Download 165 134

Https Www Ijms Info Ijms Article Download 165 134

Bone Marrow Findings In Autoimmune Lymphoproliferative Syndrome With Germline Fas Mutation Haematologica

Bone Marrow Findings In Autoimmune Lymphoproliferative Syndrome With Germline Fas Mutation Haematologica

Autoimmune Lymphoproliferative Syndrome And Epstein Barr Virus Associated Lymphoma An Adjunctive Diagnostic Role For Monitoring Ebv Viremia

Autoimmune Lymphoproliferative Syndrome And Epstein Barr Virus Associated Lymphoma An Adjunctive Diagnostic Role For Monitoring Ebv Viremia

More Than An Atypical Phenotype Dual Molecular Diagnosis Of Autoimmune Lymphoproliferative Syndrome And Becker Muscular Dystrophy Saettini 2020 British Journal Of Haematology Wiley Online Library

More Than An Atypical Phenotype Dual Molecular Diagnosis Of Autoimmune Lymphoproliferative Syndrome And Becker Muscular Dystrophy Saettini 2020 British Journal Of Haematology Wiley Online Library

Icd10 Code Of Autoimmune Lymphoproliferative Syndrome And Icd9 Code

Icd10 Code Of Autoimmune Lymphoproliferative Syndrome And Icd9 Code

Inherited Perforin And Fas Mutations In A Patient With Autoimmune Lymphoproliferative Syndrome And Lymphoma Nejm

Inherited Perforin And Fas Mutations In A Patient With Autoimmune Lymphoproliferative Syndrome And Lymphoma Nejm

Autoimmune Lymphoproliferative Syndrome Basicmedical Key

Autoimmune Lymphoproliferative Syndrome Basicmedical Key

Autoimmune Lymphoproliferative Syndrome By Isabel Amarrador

Autoimmune Lymphoproliferative Syndrome By Isabel Amarrador

Ebv Associated Lymphoproliferative Disorders Surgical Pathology Clinics

Ebv Associated Lymphoproliferative Disorders Surgical Pathology Clinics

Immunodeficiency Related Lymphoproliferative Disorders Sciencedirect

Immunodeficiency Related Lymphoproliferative Disorders Sciencedirect

Https Encrypted Tbn0 Gstatic Com Images Q Tbn And9gcryc4ioaz Cmtjyyzbhxu5rrx4kefrhjnroczn3yonvwf0gthde Usqp Cau

Https Encrypted Tbn0 Gstatic Com Images Q Tbn And9gcryc4ioaz Cmtjyyzbhxu5rrx4kefrhjnroczn3yonvwf0gthde Usqp Cau

The National Library of Medicine NLM on the NIH campus in Bethesda Maryland is the worlds largest biomedical library and the developer of electronic information services that delivers data to millions of scientists health professionals and members of the public around the globe every day.

73 filas Other signs and symptoms may include skin rashes panniculitis arthritis. These disorders can damage the kidneys glomerulonephritis liver autoimmune hepatitis eyes uveitis or nerves Guillain-Barre syndrome. The clinical manifestations may be noted in multiple family members and include lymphadenopathy splenomegaly increased risk of lymphoma and autoimmune disease which typically involves hematopoietic cell lines manifesting as multilineage cytopenias. Most commonly lymphoproliferation becomes apparent during childhood. Autoimmune lymphoproliferative syndrome ALPS is an inherited nonmalignant lymphoproliferative disorder characterized by heterozygous mutations within the first apoptosis signal receptor FAS signaling pathway. It manifests in early childhood as nonmalignant lymphadenopathy with hepatosplenomegaly and autoimmune cytopenias summary by Dowdell et. Autoimmune lymphoproliferative syndrome is a genetic disease that causes overproduction of lymphocytes leading to enlargement of lymph nodes lymphadenopathy the liver hepatomegaly and the spleen splenomegaly. About Noonan syndrome More About This Health Condition Autoimmune lymphoproliferative syndrome MedlinePlus Genetics. Skin problems usually rashes or hives urticaria can also occur in ALPS.


Skin problems usually rashes or hives urticaria can also occur in ALPS. Autoimmune lymphoproliferative syndrome ALPS is an inherited nonmalignant lymphoproliferative disorder characterized by heterozygous mutations within the first apoptosis signal receptor FAS signaling pathway. Autoimmune lymphoproliferative syndrome is associated with other autoimmune disorders like autoimmune cerebellar ataxia transverse myelitis GuillainBarre syndrome and. 73 filas Other signs and symptoms may include skin rashes panniculitis arthritis. Autoimmune lymphoproliferative syndrome ALPS is characterized by immune dysregulation due to a defect in lymphocyte apoptosis. The main lymphoproliferative symptoms in ALPS are enlarged lymph nodes and spleen. The diagnosis of ALPS is based on clinical findings laboratory findings and identification of genetic mutations.

Post a Comment for "Autoimmune Lymphoproliferative Syndrome Symptoms"